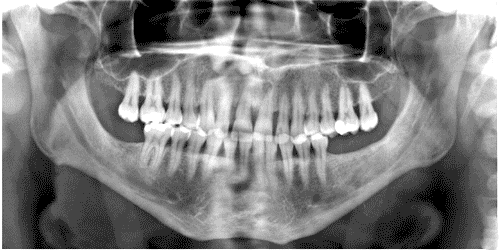
Panoramic images provide a useful overview of the teeth and jaws. They are commonly used for orthodontic surveys, to assess impacted teeth, and in implant planning
Panoramic images for the developing dentition show the presence and location of teeth
<
>