Toronto, CBCT, St. Clair, Consult, Implants

cephalometric

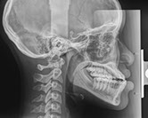
Cephalometric images (cephs) are used primarily in orthodontic diagnosis to measure the facial bones, including the jaws, to help determine treatment. Lateral cephs also show possible airway obstruction. PA cephs are used primarily to assess symmetry.