Toronto, CBCT, St. Clair, Consult, Implants

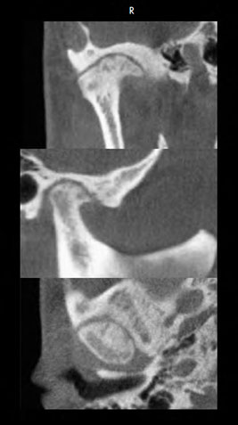
tmj

osteoarthritis